Доступность ссылок

ҚАЗ
site logo site logo
Срочные новости:

«Распространяется через интимный контакт». Стоит ли беспокоиться по поводу оспы обезьян?


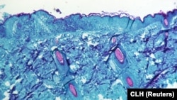
Срез кожной ткани, взятый из очага поражения на коже обезьяны, инфицированной вирусом обезьяньей оспы
Срез кожной ткани, взятый из очага поражения на коже обезьяны, инфицированной вирусом обезьяньей оспы

Работники системы здравоохранения по всему миру забили тревогу в связи с ростом числа случаев заболеваний в Европе и других странах оспой обезьян — вирусной инфекцией, традиционно распространенной в Западной и Центральной Африке.

По данным Всемирной организации здравоохранения (ВОЗ), по состоянию на 21 мая зарегистрировано 92 подтвержденных случая и 28 предполагаемых случаев заболевания оспой обезьян в 12 государствах-членах, не являющихся эндемичными по этому вирусу.

Агентство ООН заявило, что ожидает выявления большего количества случаев инфицирования оспой обезьян по мере расширения надзора в странах, для которых это заболевание не является характерным.

Вот что известно о текущей вспышке и относительном риске оспы обезьян.

НАСКОЛЬКО ЭТО ОПАСНО?

В настоящее время риск для общественности невысокий, считают в министерстве здравоохранения США.

Оспа обезьян — это вирус, который может вызывать такие симптомы, как лихорадка, боли и характерная бугристая сыпь.

Этот вирус является родственным оспе, но обычно протекает мягче, особенно западноафриканский штамм вируса, который был выявлен у заболевшего в США. Смертность от него составляет около одного процента. По словам официального представителя, большинство людей полностью выздоравливают через две-четыре недели.

Вирус передается не так просто, как вирус SARS-CoV-2, спровоцировавший глобальную пандемию COVID-19.

Эксперты считают, что нынешняя вспышка обезьяньей оспы распространяется через тесный, интимный контакт кожа к коже с кем-то, у кого есть активная сыпь. По словам экспертов, это должно облегчить сдерживание его распространения после выявления инфекции.

— COVID распространяется воздушно-капельным путем и чрезвычайно заразен. Похоже, что с оспой обезьян дело обстоит иначе, — сказал доктор Мартин Хирш из Массачусетской больницы общего профиля.

— Что сейчас, по всей видимости, происходит, так это то, что он проник в популяцию в качестве половой формы, как генитальная форма, и распространяется как и инфекции, передающиеся половым путем, что усилило его передачу по всему миру, — сообщил ИА Reuters официальный представитель ВОЗ Дэвид Хейманн, специалист по инфекционным заболеваниям.

Пробирки с «положительным результатом на вирус оспы обезьян»
Пробирки с «положительным результатом на вирус оспы обезьян»

ЧТО ТРЕВОЖИТ ЭКСПЕРТОВ ЗДРАВООХРАНЕНИЯ?

По данным ВОЗ, недавние вспышки заболевания, судя по поступающим сообщениям, являются атипичными, поскольку они наблюдаются в странах, где вирус не циркулирует на регулярной основе. Ученые пытаются понять происхождение нынешних случаев и то, изменилось ли что-нибудь в вирусе.

Большинство случаев, о которых поступили сообщения, были обнаружены в Великобритании, Испании и Португалии. Также были случаи заболевания в Канаде и Австралии, и один случай обезьяньей оспы был подтвержден в Бостоне. Представители общественного здравоохранения заявили, что есть вероятность роста числа случаев в Соединенных Штатах.

Официальные представители ВОЗ выразили обеспокоенность тем, что в ближайшие летние месяцы в Европе и других странах может возникнуть больше случаев заражения, так как люди собираются на фестивали, вечеринки и праздники.

КАК ЛЮДИ МОГУТ ЗАЩИТИТЬСЯ ОТ ИНФИЦИРОВАНИЯ?

Великобритания начала прививать подвергающихся риску при уходе за пациентами медицинских работников вакциной против оспы, которая также может защитить от оспы обезьян. Правительство США заявляет, что в его Стратегическом национальном запасе (SNS) хранится достаточно вакцины против оспы, чтобы вакцинировать всё население США.

Существуют противовирусные препараты от оспы, которые при определенных обстоятельствах также можно использовать для лечения оспы обезьян, говорится в заявлении представителя министерства здравоохранения и социальных служб США.

В целом, представители здравоохранения говорят, что людям следует избегать тесного личного контакта с теми, у кого есть сыпь или у кого есть иное недомогание. Людям, подозревающим у себя оспу обезьян, следует изолироваться и обратиться за медицинской помощью.

ЧТО МОЖЕТ СТОЯТЬ ЗА РЕЗКИМ СКАЧКОМ СЛУЧАЕВ ЗАБОЛЕВАНИЯ?

— Вирусы не являются чем-то новым и ожидаемым, — сказала Анджела Расмуссен, вирусолог из Организации по вакцинам и инфекционным заболеваниям Университета Саскачевана в Канаде.

По словам Расмуссен, ряд факторов, в том числе увеличение числа международных поездок, а также изменение климата, ускорили появление и распространение вирусов. По ее словам, после пандемии COVID мир также более внимательно относится к новым вспышкам заболеваний любого рода.

В подготовке статьи участвовали Дженнифер Ригби и Натали Гровер в Лондоне. Редактирование: Мишель Гершберг, Билл Беркрот и Фрэнсис Керри.

Перевела с английского Алиса Вальсамаки.

Корпорация РСЕ/РC, к которой относится Азаттык, объявлена в России «нежелательной организацией». В этой связи комментирование на нашем сайте, лайки и шэры могут быть наказуемы в России. Чтение и просмотр контента российским законодательством не наказуемы.
XS
SM
MD
LG